
Ai Radiologist assistant- Automatic Chest X-Ray Reader
Artificial Intelligence (AI) is Changing the environment in the Imaging Center. Accelerate your workflow and reduce the diagnosis time with a Fast and reliable AI-assisted X-ray image reading

How Exactly does it work?
- Take a Chest X-Ray with a DR Detector
- Check The image in the DR console and send it to AI Image Reader
- < 10 seconds and the AI Radiologist Assistant makes: thresholding, Equalizer histogram, cropping &Segmentation, producing IQE, MFN and Analyze by Artificial intelligence.
- The AI Diagnostic image is produced and send to the Radiologist Workstation
Main Features
- Stand Alone (NO Internet Connection needed)
- Fast and accurate point-of care screening of Chest X-ray abnormalities
- Proprietary deep learning algorithm based on more than 500,000 of carefully annotated X-ray images provides high image reading accuracy
- Provide location and probability of Chest X-ray abnormalities
- High Speed & Quality Image Processing
- DICOM 3.0 Network Compatible
- MWL SCU, DICOM storage SCU, MPPS, DICOM Print


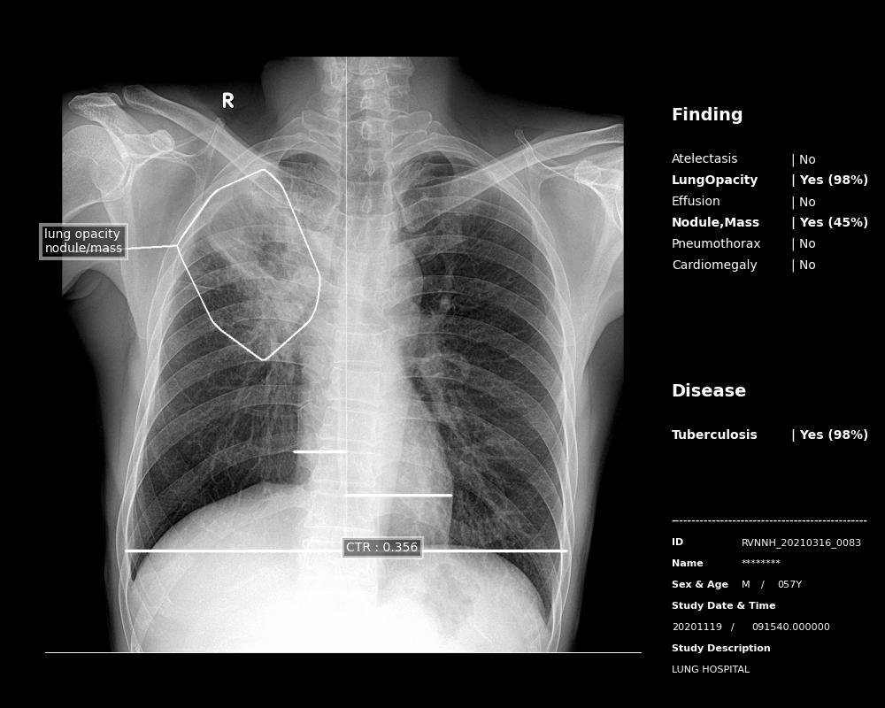
Ai Radiologist Assistant Detection
- Chest Abnormalities: Atelectasis, Lung Opacity, Effusion, Mass, Pneumothorax, Cardiomegaly, Tuberculosis, Nodule
- Diseases: Tuberculosis, Pneumonia
- Lesions: Contour Plot, Heat map, Bounding Box
- Others: Cardiothoraxic Ratio


GET IN TOUCH
