
Tomography 64 Slices with Wide-Gantry
The TURBOTOM 3 Helical Tomography System consists of a 64-slice tomography equipped with a Liquid Metal Bearing Rhenium-Tungsten tube, a wide spatial gantry entrance for obese patients, and an AI Artificial intelligent processing unit that executes an advanced reconstruction algorithm with High definition (HD) that allows control doses automatically
Powerful and New Liquid Metal Bearing Ball X-Ray Tube.
The powerful Rhenium-Tungsten tube (5 MHU) allows for long life and continuous scanning to detect micro lesions. Focused and designed to provide service in high-demand centers (100 to 200 patients per day) and equipped with a double focal point. High heat Dissipation, More Durable & Efficient


A Wide Gantry
The Turbotom system is equipped with a wide scanner access window of 76 cm,(70cm in model Turbotom3S) and the table is super resistant and made of carbon fiber to support patients along with its wide window for studying overweight patients.
Microcontroller Detector system for 0.5mm Slices.
The 4th Generation micro-controlled detection system has a window of only 32mm made of an exclusive ceramic material (GOS) that allows processing slices as thin as 0.5 mm with a resolution of 32 rows of digital output with a transmission speed of 1.25 Gb/ optical fiber

Smart Eye Artificial Intelligent (AI) Navigation Systems
- Control Dose Technology
- All Reconstruction 3D
- FDK Filter Back Projection
- All software licenses included & unlimited


Reduce noise Artifacts software.
Reduces noise or distortions in the image caused by movement, metal artifacts, high volume artifacts, radiation beam magnification artifacts, etc. Thus facilitating the diagnosis of different pathologies such as ophthalmological, orthopedic, Otorhinolaryngology, and Neurosurgery.
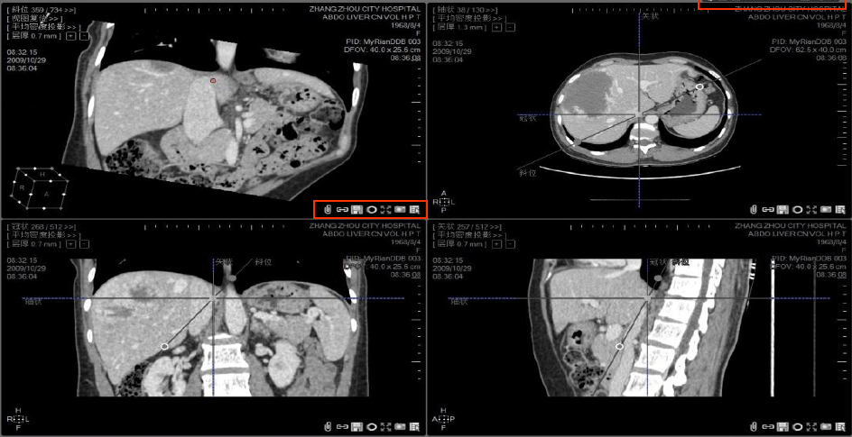
Dual Workstation acquisition & Professional Post-processing
Improve your workflow and not pay more all these features are included for a flat price


Easy-to-learn & Easy-to-use
Time-saving and labor-saving one-click. It is only necessary to select the corresponding protocol according to different scanning parts, and the scanning can be completed, which greatly improves the working efficiency of the operator

Rich clinical software funtions .
- One Click Operation
- Interface Customizable
- Single High Definition image browsing in real time
- Sync, Compare different images at the same time
- Multi-format image conversion and export JPG, DICOM, AVI, TIFF & more
Powerful Real time Post-processing techniques
- MPR (multi-planner reformation)
- CPR (curved plannar reconstruction)
- MIP ( maximal intensity injection )
- MinIP (Minimum Intensity injection )
- AIP (Average Intensity projection )
- SSD (Shaded Surface Display)
- VR(volume rendering ) volume reconstruction
- transparent display
- 1 Click Bone Removal

Promotional Video
Clinical Images









