
i-Vision 1.5 Tesla- The First Superconductive MRI helium-free
Generation V is an MRI Helium-free, has NO more expensive Quench, has Less risk, reduces installation time & cost, improves the quality of images, and reduces the maintenance cost.


The Old superconducting magnets
Less or more, the superconducting coil is immersed in liquid and gaseous helium, and the ultra-low temperature cooler cools the superconducting coil by convective heat transfer from the liquid helium.
The New LHeF or Zero(LHe) superconducting magnet.
ZERO is ZERO. The superconducting coil is directly connected to the chiller, and the superconducting coil is directly cooled by the ultra-low temperature chiller and solid cryogenic medium

Avoid the Helium cost in your MRI system
– “A shortage of liquid helium, a nonrenewable element that has been dwindling in supply, is worrying physicians because MRI machines require the ultra-cold material for its magnets”, NBC News reported on Oct. 22 – 2022.
The experts estimate 2040 the world’s existing reserves of LHe will be completely exhausted


NO more Magnet Quench cost
A magnet Quench is a headache for imaging health centers. i-Vision MRI avoids this service required by the 12.5% of MRI LHe technology every year and it causes hospital loss for more than 80.000 USD and at least 7 days off.
Exploring the cutting-edge Technology
- 150 cm …more distance and more homogeneity field
- 24 Channels integrated phased array coil
- 175mT/m/ms Gradient for ULTRA high-speed acquisition. 15% less time


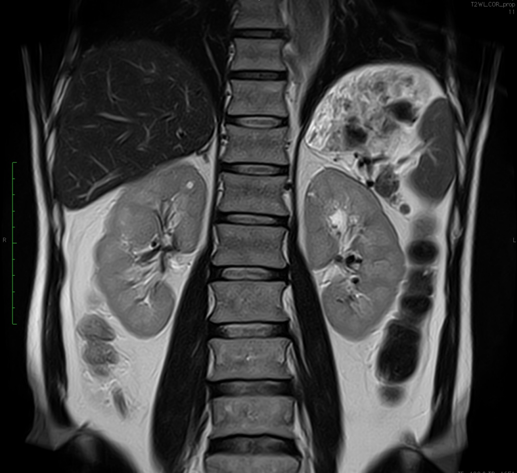
High Quality Images in high vision field
Lumbar Region Fat suppression Images
i-Smooth Technology -Silent Acquisition
The gradient coil is designed with thrust balance optimization technology, which reduces the Lorentz force between the gradient field and the main magnetic field by 85-90%, reduces noise by 5-10dB, and significantly reduces noise. effective vibration caused by gradient change.


Integrated Coils with the top configuration in the industry.
- 24 Channels: Head&Neck, Abdomen, Pelvis
- 16 Channels: Skull, cervical spine, Knee/Ankle
- 12 Channels: Spine, Chest
- 8 Channels: Shoulder & Others

Power Sense Technology
Reduce acquisition Time with the Compression image method CSPI and obtain high resolution images with artifacts free with 6-8 times acceleration. For example reduce a SWI full head Image from 16 minutes to 3 minutes.
Clinical Images






